Periodontologia
Periodontologia é a disciplina da medicina dentária que se dedica à prevenção, diagnóstico e tratamento das doenças das gengivas e das estruturas de suporte dos dentes.As doenças periodontais dividem-se em dois grandes grupos: as gengivites e as periodontites.
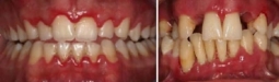
Nas gengivites há uma inflamação superficial da gengiva. A inflamação e o sangramento das gengivas são situações relativamente comuns, causadas pela presença de bactérias no sulco gengival, sendo facilmente tratadas, com recuperação total dos tecidos
Contudo, nos casos crónicos, a permanência prolongada de bactérias neste sulco e a inflamação das gengivas causa a destruição do próprio osso. A esta doença chamamos periodontite. Nas periodontites há uma destruição das estruturas mais profundas, com reabsorção do osso, e se não tratadas, podem levar à perda do dente. Geralmente não causam dores, mesmo nos casos mais avançados.
Nestes casos, só a intervenção do Médico Dentista pode parar este processo, resolvendo em determinados casos o abanar do dente e prevenindo a sua perda.
Tratamentos:

