Ortodontia
A Ortodontia é o ramo da medicina oral que se dedica a corrigir os dentes e mordidas
irregulares (também conhecida como má oclusão).
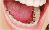
O tratamento ortodôntico consiste na aplicação de “brackets” nos dentes, forçando-os
gentilmente e ao longo de algum tempo, de modo a que se coloquem na posição ideal.
Os problemas ortodônticos podem afectar crianças, adolescentes e adultos.
Endireitar os dentes e corrigir as mordidas irregulares são realizados através do uso
de aparelhos correctivos, normalmente fazendo uso de cintas e retentores:
Estas são algumas das opções disponíveis na Felizdente:
Estes são ainda o tipo de ortodontia mais comum. Todo o aparelho ortodôntico é fabricado
para mover e posicionar os dentes de forma mais precisa.
|
A Cor pode adicionar um novo elemento de moda aos aparelhos ortodônticos.
Pode escolher qualquer cor do nosso inventário extensivo e fazer a sua própria.
Estas cores podem ser alteradas em cada visita ao seu ortodontista.
|
Este é um tipo de aparelho que muitos designam de “invisíveis” uma vez que são claros
como o vidro e não mancham. São normalmente uma opção mais dispendiosa.
|
O aparelho é colocado pela face interna dos dentes, tornando o tratamento invisível.
|
Na Felizdente temos a melhor opção para si e para a sua família, por isso marque já a sua 1ª consulta
gratuita e descubra como poderá ter um sorriso alinhado e perfeito.